こんにちは、ナオです^^
昨夜、めちゃイケが終わりましたね。
最近こそ遠ざかっていましたが、
小学生の頃はよく見ていましたね^^
...小学生!!!
それに、中学校の修学旅行、
自由行動でお台場・フジテレビに行った際は
当時大好きだった「笑う犬の生活」と一緒に
めちゃイケのグッズも買ったようにも思います。
22年も続いていたんですもの、
当時見ていたKIDSはすっかり大人になってますね。
(私含め)
今やお笑い界の中堅どころとなったみなさん、
最後の最後の最後まで全力で、
本当にお疲れ様でした!
エンディング、
サザンの「みんなのうた」がよく合ってました^^
今日で3枚目も終わり
さて。
3月が終わり、めちゃイケが終わり、
4月が始まり、
今夜から私のアライナーは4枚目に入ります。
夜アライナーを交換すれば、
就寝中はずっと着けっぱなしですから
長い時間装着でき、慣れやすい、
という話を耳にしたので、
夕食後に交換することにしています。
万が一痛くても、家にいるだけなら安心^^
前回の交換日同様、
今日も会社に烏龍茶持参です。
最終日ともなると気分が楽で、
いろいろ試したくなります^^
歯を比べる
それでは、何か歯に変化があるか、
比べてみたいと思います。
おおよそ10日ごとの写真です。
開始時

1枚目終了時

2枚目終了時

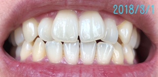
3枚目終了時(今日)

開始から1ヶ月が経ちましたが
一番変わったのはどこだと思いますか?
...そうです、唇です。
保湿の甲斐あって、
たちどころに改善しました。

1ヶ月の最大の変化が唇...
歯並びはどうなの
肝心の歯並びはといいますと...
伝わりづらいかもしれませんが、
上2本の前歯。
根元部分に、ほんの僅かな隙間が
できているんです。

上が3/1(開始日)、
下が4/1(今日)。
翼状の歯が、少しずつ水平に近付いている、
ということでしょうか!
それはすなわち、
ブラックトライアングルの生成に
刻一刻と近付いている、
ということでもありますが(´ `)
ちょっと角度を変えてみる

上が3/1(開始日)、
下が4/1(今日)。
歯並び云々の前に、
同じ角度で撮影するのが
本当に難しい。
インビザライン先駆者の皆さんのブログは
皆さん毎回きれいに同じ角度から
撮影されてますよね。
ナオ「ただただ、すごい。」
鏡で見る分には、
下の前歯が直線的になりすぎているような
気がしたんですが、
こうして写真で見るとそんな感じはしませんね。
全体的に目で見て変化が出るのはもう少し先かな。
明らかな変化はやはり、
唇が切れていない
この一言に尽きます。
今日のまとめ
痛くないんですけど...大丈夫?
昨日今日と、チューイーを噛んでも
全くどこも痛くないんです。
5時間外してしまったことが
何か悪影響を及ぼしてるとか...?
それとも3枚目で動かせる分はすべて動かした、
ということか?
そうだといいのですが、
まずは今夜の交換に期待です!
今日の心の一曲
夕方に聴くのが最高。
ブログランキングに参加しています^^
下のバナーのクリックで応援していただけるとうれしいです!
↓^^↓

歯列矯正ランキング
![]()
にほんブログ村
